Grundlagen zur Auflösung und Vergrößerung unendlich korrigierter Objektive
Wichtige Fachbegriffe | Geringe Vergrößerung | Hohe Vergrößerung

Mikroskope werden sowohl für die industrielle Bildverarbeitung als auch in den Biowissenschaften eingesetzt. Typische industrielle Einsatzbereiche sind beispielsweise die Halbleiter- und Elektronikindustrie und ganz allgemein Inspektionsaufgaben in der Fertigung. In den Biowissenschaften werden Zellproben und biologische Proben bei verschiedenen Vergrößerungen untersucht. Um das Zusammenspiel zwischen Auflösung, Vergrößerung und anderen Spezifikationen des Objektivs zu verstehen, betrachten wir ein Beispiel aus den Biowissenschaften. Die Bilder im Folgenden zeigen eine Haut-Zellkultur, aufgenommen mit einem unendlich korrigierten Objektiv, bei 5x, 10x, 20x und 50x Vergrößerung.
Die in den folgenden Abschnitten erläuterten vier Anwendungsbeispiele nutzen unendlich korrigierte Objektive von Edmund Optics®. Es können ersatzweise auch Objektive von Mitutoyo eingesetzt werden. Zwar sind Mitutoyo-Objektive in erster Linie ein Synonym für die industrielle Bildverarbeitung und Inspektionsaufgaben, sie eignen sich aber auch ausgezeichnet für jegliche Anwendung, bei der man mit schwacher Beleuchtung auskommen muss, als auch für die Zell- und Mikroinspektion.
WICHTIGE OBJEKTIVFACHBEGRIFFE
Unendlich korrigierte Objektive liefern unabhängig vom Abbildungsmaßstab gute Bilder. Sie eignen sich ideal für Anwendungen, bei denen einerseits hohe Präzision wichtig ist und andererseits die Flexibilität des modularen Aufbaus benötigt wird. Nur unendlich korrigierte Objektive lassen sich ohne Probleme mit zusätzlichen optischen Filtern, Polarisationsfiltern, Strahlteilern und Inline-Beleuchtungskomponenten im optischen Strahlengang nutzen. Einige Eigenschaften von unendlich korrigierten Objektiven erfordern jedoch eine gewisse Abwägung:
- Höhere Abbildungsmaßstäbe ergeben eine höhere numerische Apertur, aber kürzere Arbeitsabstände und kleinere Bildfelder.
- Niedrigere Abbildungsmaßstäbe ergeben niedrigere numerische Aperturen, aber längere Arbeitsabstände und größere Bildfelder.
- Die objektseitige Auflösung hängt vom Abbildungsmaßstab ab, die beide proportional zueinander wachsen.
Bei unendlich korrigierten Objektiven hängen Abbildungsmaßstab, numerische Apertur, Arbeitsabstand und Auflösung zusammen. Der Abbildungsmaßstab ist der Quotient aus der Brennweite der Tubuslinse und der Brennweite des Objektivs. Die numerische Apertur (NA) richtet sich nach der Brennweite des Objektivs und dem Durchmesser der Eintrittspupille; von der numerischen Apertur hängt wiederum die Lichtmenge ab, die in ein unendlich korrigiertes System gelangt. Der Arbeitsabstand (WD) entspricht der Distanz vom ersten optischen Element bis zum Objekt und ergibt sich aus der parfokalen Abgleichslänge des Objektivs. Die Auflösung ist eine der Eigenschaften, die am schwierigsten zu erklären ist. Es ist nur schwer zu erklären, wie ein zu prüfendes Objekt bei einem bestimmten Abbildungsmaßstab aussieht und wie die Auflösung quantifiziert werden soll, ohne konkrete Bilder vor Augen. Daher haben wir die Anwendungsbeispiele in den folgenden Abschnitten zusammengestellt, um die Zusammenhänge zu verdeutlichen. Zusätzliche Informationen zu wichtigen Fachbegriffen für Objektive finden Sie unter Grundlagen zu Mikroskopen und Objektiven.
ANWENDUNGSBEISPIELE
Es gibt eine Vielzahl von Anwendungen für unendlich korrigierte Objektive: Die häufigste Anwendung in den Biowissenschaften ist der Einsatz in Fluoreszensmikroskopen, seien es einfache Fluorophorerkennungssysteme oder kompliziertere, konfokale und Multiphotonen-Fluoreszenzsysteme. Die komplexeren Systeme zeichnen sich durch hohe Vergrößerungen, präzise Mechanik, hochwertige optische Filter und leistungsfähige Beleuchtungsquellen, beispielsweise Laser, aus. Die einfacheren Systeme dagegen arbeiten mit einer normalen Breitbandlichtquelle, einfachen Filtern, einfacher Mechanik und niedrigen bis hohen Vergrößerungen, je nach den zu prüfenden Objekten.
Bild einer Haut-Zellkultur mit geringer Vergrößerung
In Abhängigkeit von der Probe gibt es einige Faustregeln zur Auswahl eines unendlich korrigierten Objektivs. Eine typische Zelle hat eine Größe von 10 μm; ein Objektiv mit niedrigem Abbildungsmaßstab und niedriger Auflösung eignet sich zur Abbildung von Zellgruppen. Wenn Zellmembranen oder Zellkomponenten wie Mitochondrien, Ribosomen oder der Zellkern differenziert dargestellt werden sollen, ist eine Auflösung von 1 μm oder darunter am besten geeignet.
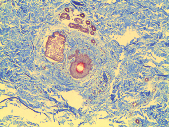
Die Abbildungen 1 – 4 zeigen Proben von 3D-Hautkulturmodellen mit einer Trichromfärbung, die von Zen-Bio Incorporated mit Sitz im Research Triangle Park, North Carolina, USA, kultiviert und präpariert wurden. In Abbildung 1 ist klar zu erkennen, dass die Zellkomponenten von der extrazellulären Matrix (ECM) umgeben sind, die das Gewebe zusammenhält. Innerhalb der extrazellulären Matrix befinden sich die interstitielle Matrix und die Basalmembran mit Polysacchariden und Strukturproteinen, die als Druckpuffer gegen äußere Belastung dienen. In der Basalmembran befinden sich diverse Häutchen, die übereinander gestapelt sind und zwischen denen Epithel-Zellen liegen. Um das Polysaccharidgel und die Epithel-Zellen deutlich zu erkennen, sollte am besten ein unendlich korrigiertes Objektiv mit hoher Vergrößerung verwendet werden. Die Gewebematrix ist das umgebende, blau eingefärbte Material, die Zellen und Zellmembranen sind purpur eingefärbt, und in jeder Zelle befindet sich eine kleinere weiße, teilweise rot gefärbte Region, die das dichtere intrazelluläre Material darstellt, beispielsweise die Mitochondrien und den Zellkern.
Abbildung 1 wurde mit einem 5X M-Plan-Apo-Objektiv #59-876 aufgenommen. Dieses unendlich korrigierte Objektiv hat eine numerische Apertur von 0,14, ein Bildfeld von 1,28 mm x 0,96 mm für einen ½"-Sensor und eine Auflösung von
2 μm. Da typische humane Zellen etwa 10 μm groß sind, sind die technischen Daten des Objektivs #59-876 hier die ideale Wahl.
Abb.1: Trichrome Färbung von Hautgewebeproben bei fünffacher Vergrößerung mit dem Objektiv #59-876.
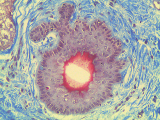
Abbildung 2 wurde mit einem 10X M-Plan-Apo-Objektiv #59-877 aufgenommen. Das Objektiv hat eine numerische Apertur von 0,28, ein Bildfeld von 0,64 mm x 0,48 mm auf einem ½"-Sensor und eine Auflösung von 1 μm. In diesem Bild ist deutlich die Stapelung und Vernetzung der ECM und der interstitiellen Strukturen zu erkennen. Außerdem ist die Zellmembran deutlich erkennbar, in der Mitte befinden sich diverse intrazelluläre Strukturen wie Ribosome, Mitochondrien und ein großer Zellkern.
Abb.2: Trichrome Färbung von Hautgewebeproben bei zehnfacher Vergrößerung mit dem Objektiv #59-877.<
Bild der Haut-Zellkultur mit hoher Vergrößerung
Abbildung 3 wurde mit einem 20X M-Plan-Apo-Objektiv #59-878 aufgenommen. Dieses unendlich korrigierte Objektiv hat eine numerische Apertur von 0,42, ein Bildfeld 0,32 mm x 0,24 mm auf einem ½"-Sensor und eine Auflösung von
0,7 μm. Abbildung 3 zeigt immer noch die komplette Zelle; die umgebende extrazelluläre Matrix ist mit mehr Details dargestellt. Die intrazellulären Moleküle sind deutlich größer und besser sichtbar als in den Abbildungen 1 oder 2.
Abb.3: Trichrome Färbung von Hautgewebeproben bei zwanzigfacher Vergrößerung mit dem Objektiv #59-878.
Abbildung 4 zeigt dieselbe Probe bei fünfzigfacher Vergrößerung – die größte Vergrößerung, die ohne mechanische Bühne oder Piezo-Aktuatoren zur Stabilisierung des unendlich korrigierten Objektivs und der Bildebene erreicht werden kann. Bei dieser Vergrößerung können schon leichte Schwingungen durch eine Beleuchtungsquelle oder das Gebläse eines Computers dazu führen, dass das Live-Bild deutlich schwankt und unscharf wird. Abbildung 4 wurde mit einem 50X M-Plan-Apo-Objektiv #59-879 aufgenommen. Das Objektiv hat eine numerische Apertur von 0,55, ein Bildfeld von 0,128 mm x 0,096 mm auf einem ½"-Sensor und eine Auflösung von 0,5 μm. Die Tiefenschärfe für dieses Objekt beträgt nur 0,9 μm, sodass die Fokussierung mühsam ist, wenn nicht geeignete mechanische Hilfsmittel verwendet werden. In Abbildung 4 sind die Zellmembran und die intrazellulären Komponenten deutlicher und heller als bei den Bildern mit einer Vergrößerung von 5X, 10X und 20X. Auch Größe und Form der Zellbestandteile sind deutlich sichtbar. Beim Vergleich von Abbildung 1 (fünffache Vergrößerung) mit Abbildung 4 (fünfzigfache Vergrößerung) fällt der größere Abbildungsmaßstab sofort ins Auge. Die Auflösung ist viermal größer, das Bildfeld zwanzig Mal kleiner. Eine Bildgebung mit fünfzigfacher Vergrößerung benötigt eine hohe Lichtstärke und einen hohen Kontrast, um die Ausleuchtung sicherzustellen und um die Verschlusszeit und den Gain an die Anforderungen der hohen Vergrößerung anzupassen. Wenn Sie ein System wie es hier verwendet wurde selbst realisieren wollen, dann finden Sie unter Aufbau von digitalen Videomikroskopen eine hilfreiche Einführung.
Abb.4: Trichrome Färbung von Hautgewebeproben bei fünfzigfacher Vergrößerung mit dem Objektiv #59-879.
Unendlich korrigierte Objektive eignen sich ideal für die industrielle Bildverarbeitung und Anwendungen im Bereich der Biowissenschaften. Bei der Bildgebung von biologischen Proben wie Hautgewebe ist es wichtig zu wissen, was mit den verschiedenen Objektivvergrößerungen erreicht werden kann. Objektive mit einem Abbildungsmaßstab von 5X und 10X eignen sich ideal für die Anzeige von Zellgruppen und kleinen Strukturen in einer extrazellulären Matrix. Objektive mit einem Abbildungsmaßstab von 20X und 50X haben eine höhere Auflösung und können intrazelluläre Moleküle darstellen.
weitere regionale Telefonnummern
ANGEBOTSTOOL
Geben Sie zum Starten die Produktnummer ein.
Copyright 2023 | Edmund Optics, Ltd Unit 1, Opus Avenue, Nether Poppleton, York, YO26 6BL, UK
DATENSCHUTZRICHTLINIE | COOKIE POLICY | AGB | AGB FÜR B2C | IMPRESSUM | BARRIEREFREIHEIT
Die Edmund Optics GmbH Deutschland fungiert als Handelsvermittler für die Edmund Optics BV in den Niederlanden.
Vertragspartner ist Edmund Optics BV in den Niederlanden.
This content may include material that has been generated or modified using artificial intelligence (AI).
The FUTURE Depends On Optics®